palavra que balbucia e murmura
palavra que afaga e tranca
palavra que draga e tortura
palavra que paga e arranca
palavra que gagueja e fissura
palavra que braveja e imanta
palavra que silencia ou falta
palavra que fica e escapa
palavra que escarpa e escalpa
palavra que lamina e retorna
palavra que mastiga e se enrola
palavra que morde e torce
palavra que tritura e fratura
palavra que traça e fala
palavra que espalha e ameaça
palavra que corta e avança
a palavra é mais que espada
a palavra é mais que mandíbula
a vida depende de uma boa mandíbula
vida dura de roer sem trégua nem mágoa
uma vida bem mastigada
a palavra inicia na pulsão de uma célula

Escrevo neste hoje moto contínuo, dias eternos desaguando no presente, absoluto.
Escrevo enquanto o futuro vem vindo ventando e, em algum instante, chega.
Escrevo no presente do futuro de cada grão de ar por vir, inspiramos.
Escrevo cravada na cela de nossos isolamentos em rede, ‘roda viva’.
Escrevo tracejando engasgos sobre os terrenos movediços, cena global.
Escrevo submersa na paisagem necropolítica brasileira instaurada, pela janela.
Escrevo inscrita na pandemia aliada da coroa da cara vazia do podre poder.
Escrevo pensando na crise da palavra intoxicada, inflada e inflamada, encapsulada.
Escrevo em estado de ebulição, liquefação, decomposição no ensejo de outros amálgamas.
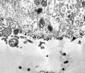
Escrevo e repito em voz alta, a palavra célula – célula célula célula.
Escrevo e percebo a consonância sonora da palavra latina cellŭla,ae _ ‘quarto pequeno’_ com o fato de estarmos locados em nossas celas – celas celas.
Escrevo neste lugar de proteção contra o vírus infectando pelas frestas, bordas, fronteiras.
Escrevo junto com as dimensões celulares infinitamente mínimas, acesso invisível à composição das matérias de que somos feitos.
Escrevo resguardada mas escrevo atravessada pelas nossas próteses comuns – os celulares.
Escrevo nas linhas extensivas das urdiduras alçando as nuvens.
Escrevo fortalecendo os nossos muros, as paredes epidérmicas, nossas peles.
Escrevo para não enrijecer os órgãos e músculos e ossos capsulados pelos intramuros injetados em nossa subjetividade.
Escrevo com as nossas células depositadas em lâminas, em estado laboratorial de isolamento, como se pudéssemos isolar o todo do todo desta conjugação amalgamada de vida.
Escrevo como células que caem na rede, tal trama perversamente imantada pelo sistema de controle que se vale dos territórios murados.

Somos células compostas – nós e o mundo! Somos palíndromos.
Sobreviveremos a este paradoxo, a esta gangorra de chaves trocadas, de narrativas expropriadas, de medidas quase equivalentes e espelhadas inversamente?
Haja ar, haja fôlego, haja pulmão para o tanto de pouco ar que asfixia o espírito do tempo, que escurece a lucidez, que satura o sangue pela falta de oxigênio em todas as instâncias!
Escrevo com medo do medo que dá dos agentes infecciosos do vírus que traduz um sistema de uso perverso e letal dos recursos naturais, do vírus que reproduz a economia voraz, gulosa e impiedosa.
Escrevo com a pretensão da palavra ser uma modalidade viral como estratégia de sobrevivência que supere a palavra oca, sem carne, sem acordo, sem cordis desejante de se instalar.
Escrevo para a palavra que resiste e não desiste de ser ‘feito sendo’ contra um metabolismo dependente que se nutre no interior de células, vampirizando a vida que nos habita.
Escrevo a réplica e a súplica da condução humana ser hospedeira e ser parasita.
Escrevo no enredo da ficção da verdade das fake news, este nódulo que viraliza tóxicos.
Escrevo da palavra célula a anti palavra célula – uma palavra-chave que ainda não sei.
Escrevo para injetar na única partícula capaz de contaminar o mundo exaurido, um mundo, um outro modo.



